Close
down heart gold white circle arrow down white heart gold circle arrow

About

Rowtree Dental Care

Hello and welcome to Rowtree Dental Care! We’re your friendly dental team in East Hunsbury, Northampton, and we’re here to ensure your smile gets all the love it deserves.

Whether you’re with us for an NHS or private check-up, we’re all about ensuring your time here is relaxed, easy and even a little fun! From the second you walk through the doors, we want you to feel right at home because your care and comfort are our top priorities.

Explore right rangitoto white circle arrow right white rangitoto circle arrow Online Booking right heart gold white circle arrow right white heart gold circle arrow
Caring and Compassionate

Caring and compassionate

Family-friendly Practice

Family-friendly practice

Gentle Dental Care

Gentle dental care

Trusted Since 1980

Trusted since 1980

Caring and Compassionate

Caring and compassionate

Family-friendly Practice

Family-friendly practice

Gentle Dental Care

Gentle dental care

Trusted Since 1980

Trusted since 1980

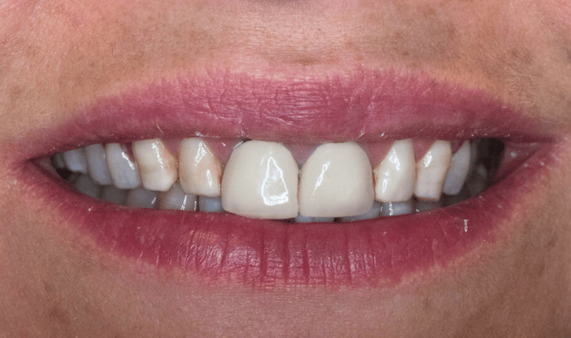
Dental Implants

Rebuild your smile

Restore function and aesthetics with our durable, natural-looking dental implants

Explore right rangitoto white circle arrow right white rangitoto circle arrow
  • check gold flower icon Long-lasting – A permanent solution
  • check gold flower icon Natural – Blends seamlessly
  • check gold flower icon Functional – Eat and smile with ease
  • check gold flower icon Long-lasting – A permanent solution
  • check gold flower icon Natural – Blends seamlessly
  • check gold flower icon Functional – Eat and smile with ease
Icon DI Hover Icon DI

General Dentistry

Essential care for your smile

Keep your teeth healthy and strong with our comprehensive general dentistry treatments

Explore right rangitoto white circle arrow right white rangitoto circle arrow
  • check gold flower icon check gray flower icon Complete care – All your dental needs are covered.
  • check gold flower icon check gray flower icon Prevention first – Keeping your smile healthy.
  • check gold flower icon check gray flower icon Gentle treatment – Caring for you every step.
Complete care – All your dental needs are covered.
Prevention first – Keeping your smile healthy.
Gentle treatment – Caring for you every step.
logo white plain symbol shape

Teeth Straightening

Straighten your smile with confidence

Achieve a perfect smile with our effective teethstraightening solutions.

Explore right rangitoto white circle arrow right white rangitoto circle arrow
  • check gold flower icon check gray flower icon Straighten your smile – Quick and effective results.
  • check gold flower icon check gray flower icon Discreet options – Subtle and comfortable treatments.
  • check gold flower icon check gray flower icon Improved confidence – A smile you’ll love to show off.
Straighten your smile – Quick and effective results.
Discreet options – Subtle and comfortable treatments.
Improved confidence – A smile you’ll love to show off.
logo arcade white plain symbol shape

Treatments

Gentle dental care

Treatment Category - Rowtree Dental Care

General Dentistry

Committed to delivering comprehensive care for your oral health.

Treatment Category - Rowtree Dental Care

Cosmetic Dentistry

Committed to delivering comprehensive care for your oral health.

Treatment Category - Rowtree Dental Care

Teeth Straightening

Committed to delivering comprehensive care for your oral health.

Treatment Category - Rowtree Dental Care

Dental Implants

Committed to delivering comprehensive care for your oral health.

Treatment Category - Rowtree Dental Care

General Dentistry

Committed to delivering comprehensive care for your oral health.

Treatment Category - Rowtree Dental Care

Cosmetic Dentistry

Committed to delivering comprehensive care for your oral health.

Treatment Category - Rowtree Dental Care

Teeth Straightening

Committed to delivering comprehensive care for your oral health.

Treatment Category - Rowtree Dental Care

Dental Implants

Committed to delivering comprehensive care for your oral health.

View our treatments right rangitoto white circle arrow right white rangitoto circle arrow book a free consultation right heart gold white circle arrow right white heart gold circle arrow

Reviews

Real stories, real results

two corner half circle white plain shape
star

Experience as smooth as it always is. Some people have a fear of dentists, but I actually find it enjoyable, as well as the benefit of keeping my ‘old gnashers’...

Spike M

google thumb
two corner half circle white plain shape
star

Experience as smooth as it always is. Some people have a fear of dentists, but I actually find it enjoyable, as well as the benefit of keeping my ‘old gnashers’...

Spike M

google thumb
two corner half circle white plain shape
star

Experience as smooth as it always is. Some people have a fear of dentists, but I actually find it enjoyable, as well as the benefit of keeping my ‘old gnashers’...

Spike M

google thumb
two corner half circle white plain shape
star

Experience as smooth as it always is. Some people have a fear of dentists, but I actually find it enjoyable, as well as the benefit of keeping my ‘old gnashers’...

Spike M

google thumb
two corner half circle white plain shape
star

Experience as smooth as it always is. Some people have a fear of dentists but I actually find it enjoyable, as well as the benefit of keeping my ‘old gnashers’...

Spike M

google thumb
two corner half circle white plain shape
star

Experience as smooth as it always is. Some people have a fear of dentists, but I actually find it enjoyable, as well as the benefit of keeping my ‘old gnashers’...

Spike M

google thumb
two corner half circle white plain shape
star

Experience as smooth as it always is. Some people have a fear of dentists, but I actually find it enjoyable, as well as the benefit of keeping my ‘old gnashers’...

Spike M

google thumb
View our testimonials right rangitoto white circle arrow right white rangitoto circle arrow Book a free consultation right heart gold white circle arrow right white heart gold circle arrow

Reviews

Real stories, real results

two corner half circle white plain shape
star

Experience as smooth as it always is. Some people have a fear of dentists, but I actually find it enjoyable, as well as the benefit of keeping my ‘old gnashers’...

Spike M

google thumb
two corner half circle white plain shape
star

Experience as smooth as it always is. Some people have a fear of dentists, but I actually find it enjoyable, as well as the benefit of keeping my ‘old gnashers’...

Spike M

google thumb
two corner half circle white plain shape
star

Experience as smooth as it always is. Some people have a fear of dentists, but I actually find it enjoyable, as well as the benefit of keeping my ‘old gnashers’...

Spike M

google thumb
two corner half circle white plain shape
star

Experience as smooth as it always is. Some people have a fear of dentists, but I actually find it enjoyable, as well as the benefit of keeping my ‘old gnashers’...

Spike M

google thumb
two corner half circle white plain shape
star

Experience as smooth as it always is. Some people have a fear of dentists but I actually find it enjoyable, as well as the benefit of keeping my ‘old gnashers’...

Spike M

google thumb
two corner half circle white plain shape
star

Experience as smooth as it always is. Some people have a fear of dentists, but I actually find it enjoyable, as well as the benefit of keeping my ‘old gnashers’...

Spike M

google thumb
two corner half circle white plain shape
star

Experience as smooth as it always is. Some people have a fear of dentists, but I actually find it enjoyable, as well as the benefit of keeping my ‘old gnashers’...

Spike M

google thumb
View our testimonials right rangitoto white circle arrow right white rangitoto circle arrow Book a free consultation right heart gold white circle arrow right white heart gold circle arrow

Our team

Meet our clinical team

Our skilled and friendly team is dedicated to providing exceptional care, combining professionalism and a gentle approach to help you achieve a healthy, confident smile.

Explore right rangitoto white circle arrow right white rangitoto circle arrow

Dr Ronak Patel

Principal Dentist

Dr Ronak Patel

Principal Dentist

Dr Priyesh Patel Copy

Principal Dentist

Dr Priyesh Patel

Principal Dentist

Dr Priyesh Patel

Principal Dentist

Dr Ronak Patel

Principal Dentist

Dr Ronak Patel

Principal Dentist

Dr Priyesh Patel Copy

Principal Dentist

Dr Priyesh Patel

Principal Dentist

Dr Priyesh Patel

Principal Dentist
logo arcade white plain symbol shape
logo arcade white plain symbol shape

Appointments

Book your consultation

Take the first step towards a healthier, more confident smile. Schedule your consultation today and let us help you achieve the smile you've always wanted

book a free consultation right heart gold white circle arrow right white heart gold circle arrow

Contact

Get in touch

Our partners

Google Reviews
4.9
Google Reviews
Google-review